CẤY GHÉP IMPLANT CHO NGƯỜI MẤT RĂNG LÂU NĂM
Bạn có đang phải đối mặt với tình trạng mất răng hàm trên đã lâu? Có phải việc thưởng thức những món ăn yêu thích ngày càng khó khăn, và bạn cảm thấy thiếu tự tin khi cười vì khoảng trống đó?
Trám răng cửa đúng kỹ thuật sẽ giúp phủ bít vị trí răng bị hư hỏng, không chỉ khôi phục thẩm mỹ nụ cười mà còn giúp bạn ăn nhai thoải mái hơn. Tuy nhiên khi nào nên trám răng cửa? Phương pháp này có bền không?
KHI NÀO CẦN TRÁM RĂNG CỬA THẨM MỸ?
Bất kỳ vấn đề nào xảy ra ở răng cửa cũng đều ảnh hưởng đến thẩm mỹ nụ cười. Nếu bạn gặp một trong các trường hợp sau đây, hãy cân nhắc thực hiện trám thẩm mỹ răng cửa càng sớm càng tốt:
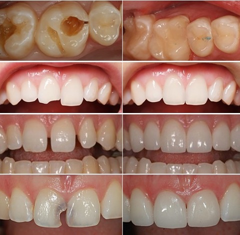
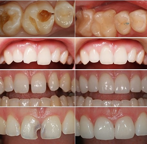
Răng cửa bị mẻ có trám được không? Trường hợp răng cửa bị sứt mẻ, gãy vỡ do chấn thương, ăn thức ăn quá cứng, thói quen nghiến răng/mở đồ bằng răng, … thì trám răng là giải pháp hiệu quả. Bạn nên thực hiện trám răng cửa bị mẻ sớm, nhằm ngăn ngừa tình trạng viêm nhiễm, giảm nguy cơ răng bị sứt mẻ nặng hơn khi ăn nhai.

Trám răng cửa bị mẻ sứt là giải pháp cải thiện thẩm mỹ, ngăn ngừa tình trạng răng bị mẻ, gãy nghiêm trọng hơn.
Răng cửa bị thưa tạo điều kiện cho mảng bám thức ăn mắc vào kẽ răng, tăng nguy cơ sâu răng nếu không có biện pháp khắc phục kịp thời. Trường hợp răng thưa mức độ nhẹ, bạn có thể trám răng cửa để bịt kín khoảng trống, cải thiện tính thẩm mỹ và giảm nguy cơ bị sâu răng.

Men răng cửa bị mòn, khuyết cổ răng có thể do bệnh lý răng miệng, thức ăn bám lâu trên răng, nghiến răng, chăm sóc răng miệng sai cách, … Vậy trong trường hợp này răng cửa có trám được không? Câu trả lời là có, bởi đây là phương pháp giúp che lấp đi khoảng trống, bảo vệ răng bên trong khi bị mòn men răng hay khuyết cổ răng.
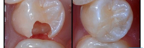
Sâu răng cửa là tình trạng men răng, ngà răng bị tổn thương do vi khuẩn ở các mảng bám, cặn thức ăn thừa bám vào, làm răng mất dần mô cứng, gây nên các ổ sâu răng có màu đen. Nếu để lâu, các ổ sâu răng sẽ ăn sâu vào răng cửa, ảnh hưởng đến tủy răng, chân răng, thậm chí gây mấy răng.

Trám răng cửa là phương pháp ít xâm lấn, bảo tồn tối đa răng cửa bị sâu được nhiều bác sĩ chỉ định. Phương pháp này giúp bịt kín lại các lỗ sâu, ngăn ngừa sự lây lan của vi khuẩn.
SÂU RĂNG NÊN TRÁM RĂNG CỬA HAY BỌC SỨ?
Được biết trám răng và bọc răng sứ đều giúp phục hồi hình dáng cũng như tái tạo thẩm mỹ răng bị sâu. Tuy nhiên, mỗi trám răng và bọc sứ có những điểm khác biệt, việc lựa chọn phương pháp nào sẽ tùy vào tình trạng răng sâu sau khi bác sĩ làm sạch vết sâu.
Trong trường hợp răng mới chớm sâu hoặc lỗ sâu đã hình thành nhưng chưa bị vỡ, mẻ quá nhiều, bác sĩ tư vấn thực hiện trám răng cửa, giúp ngăn ngừa vi khuẩn lây lan.
Nhưng sau thời gian trám răng, mảng trám có thể bị bong tróc, tạo điều kiện để vi khuẩn tiếp tục tấn công vào răng cũ. Do đó, với các răng sâu đã từng trám nhưng tái phát vấn đề, bọc răng sứ có thể chỉ định để bảo vệ răng. Tuy nhiên, không phải ai cũng có thể bọc sứ răng cửa, bởi phần răng sâu cần đảm bảo còn đủ thân răng, đồng thời sức khỏe răng miệng tốt.
Vì thế, để chắc chắn tình trạng răng cửa sâu của bạn phù hợp với trám răng hay bọc sứ, bạn nên đến cơ sở nha khoa uy tín để thăm khám và tư vấn chi tiết.
Tùy vào tình trạng sâu răng cửa, bác sĩ sẽ tư vấn cho bạn nên trám răng hay bọc sứ.
TRÁM RĂNG CỬA CÓ ĐAU KHÔNG?
Nếu tổn thương ở răng cửa chưa tác động đến phần tủy thì khi trám răng sẽ không gây đau. Tuy nhiên, với những người có cơ địa quá nhạy cảm hoặc cần điều trị tủy răng, bác sĩ sẽ gây tê trước khi thực hiện, giúp bạn cảm thấy thoải mái, không bị đau.
>> Liên hệ Bệnh viện Mỹ Thiện ngay để đặt lịch hẹn với bác sĩ chuyên khoa, thăm khám và điều trị trám răng cửa chuyên nghiệp, đạt hiệu quả lâu dài.
TRÁM RĂNG CỬA BAO LÂU?
Thời gian trám răng diễn ra trong 1 buổi hẹn khoảng 45 – 60 phút, tùy thuộc vào tình trạng và loại vật liệu trám răng. Với vết trám lớn thời gian có thể kéo dài lâu hơn.
Cách trám răng cửa không quá phức tạp, bác sĩ sẽ thăm khám, tư vấn tình trạng răng, từ đó đưa ra vật liệu trám phù hợp. Tiếp đến, bác sĩ tiến hành vệ sinh sạch vùng răng cần trám, gây tê, rồi hàn răng cửa với vật liệu trám. Cuối cùng là điều chỉnh, làm nhẵn và làm bóng miếng trám.
CẦN LƯU Ý GÌ ĐỂ GIỮ RĂNG CỬA SAU KHI TRÁM BỀN ĐẸP?
Để giúp răng cửa sau khi trám bền đẹp, chắc chắn, thời gian sử dụng dài lâu, bạn cần lưu ý một số điểm sau:
Trên đây là toàn bộ thông tin giúp bạn tìm hiểu chi tiết về trám răng cửa, từ các trường hợp áp dụng, phân tích độ bền, giá cả cùng các lưu ý hữu ích. Mong rằng qua bài viết này, bạn có thể tự tin áp dụng phương pháp này để lấy lại hàm răng đều đẹp, khôi phục chức năng ăn nhai hiệu quả.
Bạn có đang phải đối mặt với tình trạng mất răng hàm trên đã lâu? Có phải việc thưởng thức những món ăn yêu thích ngày càng khó khăn, và bạn cảm thấy thiếu tự tin khi cười vì khoảng trống đó?
Bạn đã bao giờ trải qua cảm giác đau buốt, nhức nhối cả nửa bên mặt vì răng khôn "biểu tình" chưa? Cái cảm giác này dai dẳng, khó chịu, đôi khi khiến chúng ta mất ăn mất ngủ, ảnh hưởng cả công việc và tâm trạng. Chắc chắn rồi, ai đã từng có răng khôn mọc lệch, mọc ngầm đều hiểu!
Nhổ răng khôn đòi hỏi kỹ thuật và độ khéo léo cao trong xử lý. Bài viết này cung cấp cho quý khách hàng những thông tin về dịch vụ nhổ răng khôn.
Bạn đã mất nhiều răng hoặc toàn bộ hàm? Bạn đang tìm kiếm một giải pháp bền vững, hiệu quả để phục hồi khả năng ăn nhai và lấy lại nụ cười tự tin? Công nghệ All-on-4 chính là câu trả lời mà bạn cần.
Trám răng cửa đúng kỹ thuật sẽ giúp phủ bít vị trí răng bị hư hỏng, không chỉ khôi phục thẩm mỹ nụ cười mà còn giúp bạn ăn nhai thoải mái hơn. Tuy nhiên khi nào nên trám răng cửa? Phương pháp này có bền không?
Kỹ thuật nhổ răng cần trải qua các bước đơn giản, đảm bảo đúng nguyên tắc giúp cho ca điều trị diễn ra an toàn và nhẹ nhàng cho từng khách hàng